Follow us to get latest updates

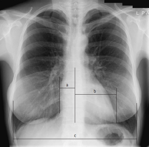
CARDIO THORACIC RATIO




CARDIO THORACIC RATIO OR CTR

Heart की साइज Chest PA radiograph द्वारा CTR (Cardio-thoracic ratio) की सहायता से मापी जाती है |  यह heart की maximum transverse diameter तथा costo-phrenic angle के ऊपर चेस्ट की maximum width का अनुपात होता है | ये मापन रिब्स के आंतरिक किनारे से किया जाता है |

Cardio-thoracic ratio (CTR) = (a+b) / c

chest radiograph showing cardiomegaly measurements

यहाँ
      a= mid line से हार्ट के राइट बॉर्डर की दुरी |
      b= mid line से हार्ट के लेफ्ट बॉर्डर की दुरी |
      c= costo-phrenic angle के ऊपर चेस्ट की अधिकतम चौड़ाई |

Adult में नार्मल CTR 0.5 होता है |
0.5 से अधिक CTR, cardiomegaly को बताता है |
CTR सदा Chest PA radiograph में ही मापा जाता है Chest AP radiograph में नहीं, क्योंकि हार्ट पोस्टीरियर के बजाय थोड़ा एंटीरियर स्थित होता है अतः  Chest AP स्थिति में हार्ट image receptor से थोड़ा दूर चला जाता है तथा  magnification दर्शाता है जो cardiomegaly के रूप में diagnose हो सकता है |
Ex. यदि a= 2.5 cm, b= 10 cm तथा c= 29 cm हो तो CTR क्या होगा ?
CTR = (2.5+10) / 29
        = 0.43




Back to Main Menu




कोई टिप्पणी नहीं:

एक टिप्पणी भेजें